こちらのコンテンツは、院長の豊福一朋が自身のこれまでの研究ならびに経験、関連書籍、学術報告などをもとに独自に作成したものです。将来において当院における治療方法、治療後の処置、使用機器、治療の流れなどについて内容が変更となる可能性があります。
老化した皮膚を除去し、新しい健康な皮膚を形成させることを「リサーフェシング(再生)」といいます。肌の若返りとも言われています。アイコン1540フラクショナルレーザーは、リサーフェシングに高い効果を持つレーザー機器の一つです。
次のようなことにお悩みの方に適しています。
- ニキビのへこみを浅くしたい
- 皮膚表面の若返り、引き締め
- 帯状毛穴を改善したい
- 肌質改善
1.1540フラクショナルレーザーのメカニズムと原理
機能的にはノンアブレーティブ・フラクショナルレーザーに分類されます。「ノンアブレーティブ(non-ablatibe)」、「フラクショナル(fractional)」という2つの機能を持っているレーザーです。「1540」はレーザーの波長が1540ナノメートル(nm)ということです。

「ノンアブレーティブ」、「フラクショナル」とはどんな機能でしょうか。
アブレーティブとノンアブレーティブの違い
アブレーティブレーザー
「ノンアブレーティブ」は「非剥離的」と訳されます。また「ノンアブレーティブ」の対義語は「アブレーティブ(ablative)」となり、「剥離的」となります。
リサーフェシング(肌の若返り)は1980年代に始まり、1990年代には炭酸ガスやエルビウムヤグレーザーで主に白色人種を中心におこなわれていました。このとき用いられた方法は、レーザーで皮膚表面を薄く蒸散し剥離させることで、これをアブレーティブといいます。治療部位は表皮と真皮上層がレーザーで削られた状態になります。皮膚の表面(表皮全層)が蒸散すると組織は収縮します。これにより皮膚の表面積が減り、シワの改善が起こります。さらに表皮と真皮の上層が再生することで肌の若返りをもたらします。しかし、この方法はわれわれ東洋人におこなった場合、術後の発赤、腫脹、色素異常(まだら色のなること)、瘢痕の合併症が出現する割合が高く、一般的にはなりませんでした。

ノンアブレーティブレーザー
アブレーティブレーザーはリサーフェシングに高い効果をもっていましたが、色素異常や瘢痕などの副作用が問題となりました。副作用を軽減する目的として、1990年後半からは色素レーザーやNd:ヤグレーザーを用いた治療が発表されはじめました。皮膚表面を蒸散させることなく、真皮に熱を加える方法がノンアブレーティブです。アブレーティブに比べ、表皮が蒸散され削られない分、術後の痛みが少なく、滲出液がなくなりました。ノンアブレーティブレーザーが普及したことでダウンタイムを抑えたリサーフェシング治療が可能になりました。当院のアイコン1540フラクショナルレーザーはノンアブレーティブレーザーです。

フラクショナル理論(fractional photothermolysis)
フラクショナルレーザーは”fractional photothermolysis理論”という概念に基づいた治療法です。ピクセル状(生け花の剣山のよう)にレーザーを照射して皮膚に微細な熱凝固点(直径0.08~0.3mm)を作り、照射部位の皮膚を新しく再生させるという理論です。この方法で表皮が蒸散するのは単位面積あたりの約5~25%のみであり、残りの75~95%は照射されない部分です。このように温存された皮膚が多いので、全体として創傷治癒が早くなります。

従来のアブレーティブレーザーは照射部位の皮膚全体に広範囲な熱凝固を起こすため、効果が期待される高い出力では炎症後の色素沈着が長く続いたり、照射部に瘢痕が残ることが問題でした。フラクショナルレーザーはこれらの欠点を解決しました。それまで十分な治療法がなかったニキビ痕のような点状、クレーター状の陥凹にも効果がでるようになりました。

このフラクショナル理論を用いた治療は発表当時はアブレーティブレーザーの欠点を補うためでした。現在はノンアブレーティブレーザーにも応用され、様々な疾患の治療に使われています。

1540フラクショナルレーザーの特徴
1540フラクショナルレーザーの先端の面積は15×15mmです。この中に縦横7列の格子状に合計49点のレーザー照射部を作ります。
1回の照射で20%が照射部位面積となります。理論的には5回の照射ですべての面積を照射することになります。


2.1540フラクショナルレーザーの作用機序
皮膚のリモデリング
老化した皮膚ではコラーゲンの老化、弾性線維の走行の乱れ、縮れ、断裂が起こっています。皮膚にダメージを与えるとコラーゲンや弾性線維はいったん破壊され生体に吸収されつつ、同時にダメージで活性化された線維芽細胞から新しいコラーゲンや弾性線維が新生されます。新生されたこれらの物質は若いときの肌の状況に近く再生し、肌が若返ります。これを肌のリモデリングといいます。
波長1540nmの波長のレーザーは近赤外線の波長で水分に吸収されにくいため、深達性が高いものです。ノンアブレーティブレーザーなので、表皮に欠損部をつくるようなダメージは起こしません。波長の深達性に加えて前述のXDチップの効果で真皮の深いところまでレーザーが到達するので高い効果を発揮します。

レーザーを照射すると皮膚の真皮深くまで加熱します。皮膚はタンパク質ですから、熱を加えると熱凝固を起こします。熱凝固は皮膚には強いダメージとなります。また、熱凝固を起こした部位は収縮します。これはステーキを焼くと縮んで小さくなるのと同じ原理です。レーザーが照射された部位は熱凝固により収縮し、コラーゲンの新生とリモデリング(再構築)が起こります。

皮膚の面積の縮小
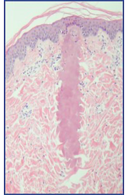
1540フラクショナルレーザーは皮膚表面(表皮と真皮)に角錐状(生け花の剣山のよう)の微細な熱凝固(熱傷)点を作ることで、効果を発揮します。下の図をご覧ください。
メカニズムをステーキを例に説明します。ステーキ肉を鉄板で焼くと体積が小さくなります。これは前述したたんぱく質に熱を加えると熱凝固して収縮する「たんぱく質凝固」という原理です。フラクショナルは皮膚の微細な熱凝固(熱傷)点ではこのステーキ肉のように”皮膚を焼いた”状態になります。”ピンク色の正方形”は熱凝固をおこした皮膚です。治療後はたんぱく質の熱凝固により”茶色の正方形”のように面積が縮小します。

レーザーの先端部はこの正方形の集まりです。
照射した小さな正方形の皮膚それぞれが収縮して照射部位全体の皮膚面積(小さい正方形が集合した大きな正方形)が小さくなります。

ひとつひとつがレーザーの熱傷により微細な面積の熱凝固となります。熱凝固点の周囲はダメージを受けていない皮膚なので、ここから再生が始まります。広範囲に熱傷を起こす従来の方法に比べ、ダウンタイムが圧倒的に短縮され、最も心配されていた醜い瘢痕を残すことがなくなりました。1540フラクショナルレーザーでは1回の照射面積が部位の20%です。理論上5回ですべての皮膚に熱凝固を引き起こすことになります。
3.1540フラクショナルレーザーでできること
1540フラクショナルレーザーは皮膚のリモデリングと面積の縮小で「凹んだニキビ痕の治療」と「肌の若返り」に効果があります。
| 主な効果 | 皮膚の リモデリング |
皮膚の 面積の縮小 |
|
| 凹んだニキビ跡の治療 | 〇 | 〇 | |
| 肌の若返り (リジュビネーション) |
リフトアップ・タイトニング | 〇 | |
| 目元周辺、額、口元周囲のシワの改善 | 〇 | 〇 | |
| 帯状毛穴の改善 | 〇 | 〇 | |
| 肌質の改善 | 〇 | ||
| ほうれい線の軽減 | 〇 | ||
施術中のビデオ
1540フラクショナルレーザーの施術の様子のビデオです。
凹んだニキビ痕の治療についてはこちらをご覧ください
4.1540フラクショナルレーザー料金
1540フラクショナルレーザーの料金はこちらをご覧ください。

